Polyp
Polyp
(snad od řec. polypus – chobotnice, mnohonožec)
polyp = v obecné rovině označuje výrůstek na sliznici. Polypy se vyskytují na sliznicích zažívacího traktu, v močových cestách, ženské pohlavní soustavě (polyp děložní sliznice nebo polyp děložního hrdla) případně dýchacích cestách (polyp nosní dutiny nebo hlasivek). Někdy se nepřesně označení polyp používá jen pro nezhoubné nádory. Při mnohočetném postižení orgánu nebo orgánové soustavy hovoříme o polypóze.
V gynekologii mluvíme nejčastěji o polypu děložní sliznice. Jsou to stopkaté, nebo přisedlé útvary, které představují nahromadění masy sliznice. Polypy se mohou nacházet na sliznici dutiny děložní (tzv. endometriální polyp), nebo hrdla děložního (tzv. cervikální polyp).
Označení polyp je pouze popisné a k další diagnostice je nutné histologické vyšetření.
Příčina vzniku polypu může být zcela banální, ale také může být závažná. Polypy dělíme na nenádorové a nádorové, nádorové pak dělíme na nezhoubné a zhoubné. V gynekologické lokalizaci se zpravidla jedná o nezhoubné, či nenádorové útvary.
Objednání:
V našich ordinacích provádíme odstranění polypu bezbolestně bez nutnosti celkové anestezie.
Kontakty naleznete zde.
Příčina vzniku polypů v děloze je dosud nejasná. Roli mohou hrát opakující se záněty. Polypy také reagují na hladinu ženského hormonu estrogenu. Při jeho zvýšených hodnotách stoupá riziko jejich vzniku. Tzv. mikropolypóza endometria (mnohotné drobné polypy na sliznici dutiny děložní) je spojována s chronickým zánětem této sliznice, hraje svoji nepříznivou roli při snaze o otěhotnění, může být dokonce jednou z příčin sterility či infertility (tedy neplodnosti). Dále je mikropolypóza spojována se změnami sliznice dutiny děložní při zaveném nitroděložním tělísku či hormonálnímím nitroděložním tělísku, soudí se však, že v tomto případě vznikají mikropolypy indukovaně právě díky tělísku a mají spíš antikoncepční účinek. Častější je také výskyt u pacientek s rakovinou prsu (např. tamoxifencitrát) nebo u pacientek s vysokým tlakem kvůli nasazeným lékům.
Polypy jsou nebolestivé. Jejich výskyt je poměrně častý, dle některých zdrojů se vyskytují u každé 8. – 10. ženy, ve většině případů se nijak neprojevují. Hlavním příznakem je nadměrně silná menstruace nebo krvácením mimo cyklus, také však krvácení po pohlavním styku či gynekologickém vyšetření. Neodhalené polypy bývají příčinou problémů s otěhotněním nebo četnými potraty. Často se však jejich existence nemusí klinicky vůbec projevit, jsou často náhodným nálezem při pravidelné preventivní gynekologické prohlídce.
děložní polypy = výrůstky sliznice, které postihují ženy jakéhokoliv věku. Většinou se jedná o nezhoubné (benigní) výrůstky, jejichž případná malignita (zhoubnost) se kontroluje histopatologickým vyšetřením.
Dle lokalizace je dělíme na 2 typy:
- endometriální (děložní) polyp – nachází se „uvnitř dělohy“tj. v děložní dutině
- cervikální polyp (polyp cervixu) – nachází se v hrdle děložním.
polyp děložního těla (endometriální polyp) = stopkatý útvar v děložní dutině vyrůstající ze sliznice děložní (endometria). Jde o zbytnění určité složky děložní sliznice. Nejčastěji je objeven jako příčina krvácení u žen po 40. roku věku. Při delší době růstu je pravděpodobnější vznik zhoubného bujení. Lze jej zobrazit nepřímo UZ (ultrazvukovým) vyšetřením vaginální sondou. Vyšetřovací metodou kdy jej pak zobrazíme přímo je tzv. hysteroskopie. Tato metoda při použití operačních nástrojů zároveň umožní i odstranění polypu či více polypů a je zároveň i metodou léčby. Cílené odstranění polypů při hysteroskopii zaručuje nejnižší procento jejich opakování, tzv. recidivy. Jedna z dalších možností je tzv. kyretáž, kde však chybí kontrola zrakem a pravděpodobnost opakování polypu nebo neúspěchu výkonu (neúplné odstranění) je větší.

polyp děložního hrdla (endocervikální polyp) = stopkatý útvar v hrdle děložním, vyrůstající ze sliznice. Řadíme jej mezi nepravé nádory děložního hrdla. Nemusí způsobovat žádné potíže, ale může se také projevit slabým krvácením či výtokem. Jedná se většinou o růžový útvar, který může mít velikost několika mm, vyjímečně je větší než 1cm, který vystupuje ze zevní branky děložního hrdla. Může však také růst v kanálu děložního hrdla skrytě a bezpříznakově. Jeho léčba spočívá v chirurgickém odstranění, tzv. snesení (ablace) pokud možno i s jeho stopkou nejčastěji při výkonu, který nazýváme kyretáž. Nezbytné je histopatologické vyšetření stran vyloučení změn charakteru zhoubného bujení, které se v polypech může vzácně vyskytnout.
Odstranění polypu (polypů)
Žena sice s polypem může normálně žít, pokud nezpůsobuje krvácivé potíže případně problémy v souvislosti s nemožností otěhotnět, ale na druhé straně i při nálezu klinicky němého (asymptomatického) polypu většinou doporučujeme jeho odstranění, abychom histopatologicky ověřili jeho nezhoubnou povahu. Navíc může dojít k malignímu zvrhnutí takového polypu.
U žen, které plánují těhotenství, jde o jistou prevenci potratu nebo nepříjemného krvácení v průběhu těhotenství. Léky ani jiné procedury k léčbě polypů nejsou bohužel známy, léčba je pouze chirurgická. Odstranění polypu děložního hrdla je jednoduchý nebolestivý zákrok, proveditelný i ambulantně. Odstranění polypu děložního těla hysteroskopicky je výkonem miniinvazivním, prováděným pouze přes pochvu a děložní hrdlo. Hysteroskopické odstranění polypu děložního těla (polypektomie) je většinou 10 minut trvající zákrok s použitím vhodného tenkého instrumentária. Lze ho provést pomocí tzv. ambulantní hysteroskopie, pokud není polyp příliš velký (nad 1-1,5cm), pokud je pacientka k tomuto typu výkonu vhodná a případně zvládne dyskomfort charakteru mírně bolestivého menses v délce 5-10 min (není vždy, 50% žen ambulantní zákrok hodnotí jako naprosto nebolestivý). Důležité je vybavení hysteroskopy s tenkou optikou a zkušený operatér erudovaný v této technice. V opačném případě je standardem tento výkon provádět v celkové anestézii. Po odstranění je materiál zaslán k histologickému zpracování.
Proč chodit na preventivní prohlídky (i po menopauze)
Preventivní prohlídka u gynekologa je poznámka, která se jednou ročně najde v nejednom diáři ženy. Možná ale některé pečlivé ženy překvapí, že v minulosti to nebylo pravidlem. Ženy navštěvovaly gynekologa jen při problémech a proto se běžně stávalo, že k „ženskému lékaři“ od porodu vůbec nezavítaly. Přivedlo je například až krvácení v odbobí „po přechodu“, kdy by se již žádné krvácení vyskytovat nemělo. A toto krvácení bylo často již nepříjemným důsledkem rozvinutého nádoru dělohy.

Dnes je tomu ve většině případů naštěstí jinak. Ženy chodí na lékařské preventivní prohlídky pravidelně. Rutinní součástí preventivního vyšetření je i vaginální ultrazvukové vyšetření (vaginální ultrasonografie). Díky dobrému vybavení ordinací kvalitními ultrazvukovými přístroji se dnes lékařům daří zachytit i drobné nepravidelnosti sliznice děložní, které se ještě nestihnou projevit krvácením, nebo jinými příznaky. V období po menopauze se s takovýmto nálezem setkáme přibližně u čtvrtiny pacientek. I když u většiny takto zjištěných nálezů se prokáže pouze nepravidelnost děložní sliznice – nejčastěji polyp – u určitého počtu pacientek se podaří zachytit iniciální stádium zhoubného nádoru.
Dalším krokem je tedy bližší vyšetření nálezu. K tomu nám slouží hysteroskopie. Tento zákrok nám umožní prohlédnout nepravidelnost děložní sliznice a přesně zacílit odběr tkáně k bližšímu mikroskopickému zpracování. Protože drobné děložní léze mohou být opticky zhodnoceny a bezprostředně potom odstraněny, vžilo se pro označení tohoto zákroku heslo „ see and treat“. Asi u 6% žen je histologicky (mikroskopicky) verifikován nádor a je doporučeno odstranění dělohy.
Ultrasonografie, která se stala nezbytnou součástí preventivních prohlídek, nám tak účelně slouží ke screeningu a vyhledávání suspektních nálezů. Hysteroskopie pak tyto suspektní nálezy upřesňuje a umožňuje cíleně odebrat podezřelou tkáň. Obě metody jsou přínosné a vzájemně nezastupitelné.
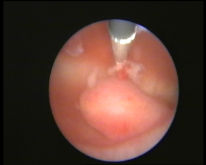
Odstranění menších polypů ambulantním hysteroskopem
Výkony odstranění polypů byly provedeny v našich ordinacích ambulantní metodou - tedy rychle, bezbolestně, bez návštěvy nemocnice a případné anestezie. Více o ambulantní hysteroskopii se dozvíte zde.
Odstranění polypu z dutiny děložní ambulantní hysteroskopií
Polyp v dutině děložní jeho odstranění ambulantním hysteroskopem
2x polyp v dutině děložní



Komentáře (0)