Nezbytné soubory cookies
Tyto soubory cookies jsou nezbytné pro různé základní funkce našeho webu a pro správné poskytování našich služeb (např. navigace, přihlášení do účtu či internetová objednávka). Bez nich by naše webové stránky správně nefungovaly, proto je nemůžete vypnout.

Analytické (statistické) soubory cookies
Shromažďují informace o používání webových stránek, např. o navštívených stránkách nebo chybových hlášeních. Tyto cookies získáváme například díky nástroji Google Analytics. Informace získané jejich prostřednictvím používáme pouze v souhrnné a anonymizované podobě. Pomáhají nám zjistit, které stránky jsou nejvíce a nejméně oblíbené, jak se návštěvníci na webu pohybují a kolik času na něm tráví. Díky tomu můžeme zlepšovat výkon webu a naše služby.

Marketingové soubory cookies
Tyto soubory cookies sledují uživatele napříč webovými stránkami. Často je ukládají třetí strany (např. Google AdWords či Seznam Sklik) a používáme je pro účely reklam zobrazovaných na webových stránkách třetích stran, včetně sociálních médií. Jsou přizpůsobeny vašim preferencím a pomáhají nám měřit účinnost našich reklamních kampaní. Použití těchto cookies lze zakázat, aniž byste tím ovlivnili funkčnost webové stránky. Pokud tyto soubory cookies deaktivujete, bude se vám při procházení internetu i nadále zobrazovat reklama (včetně té naší), ačkoli nebude specifická pro vaše osobní zájmy, a bude proto méně relevantní.
Povolit vše Uložit nastavení
  • Kontaktujte nás
  • Facebook
  • Youtube
Ambulantní hysteroskopie
  • Hysteroskopie
  • O vyšetření
    • Co je ambulantní hysteroskopie
    • Výhody ambulantní hysteroskopie
    • Narkóza ano či ne
    • Videa
    • Nejčastější hysteroskopické nálezy
    • Gynekologický slovník
  • Vaše reakce
    • Zkušenosti pacientek
    • Video reakce pacientek
    • Gynekologická poradna
    • Časté otázky
    • Diskuze na Facebooku
  • Média
    • Televize, tisk, kongresy
    • Videa ke knize „Atlas panoramatické hysteroskopie“
  • Kontakty

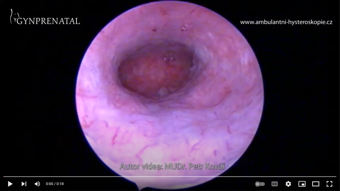
Kapitola Léky s vlivem na endometrium

  • Úvod
  • Média
  • Videa ke knize „Atlas panoramatické hysteroskopie“
  • Kapitola Léky s vlivem na endometrium

Endometrium při užívání MPA


Endometrium při dlouhodobém užívání DMPA


Změny endometria při LNG IUS


Výhody ambulantní hysteroskopie
  • není třeba hospitalizace
  • bez nutnosti narkózy
  • v čase, který pacientce vyhovuje
  • zákrok trvá 5-15 minut
  • není nutná neschopenka
  • krátké čekací doby
  • zákrok plně hradí pojišťovny

Videa s reakcemi pacientek

reakce pacientek ambulantní hysteroskopie


MUDr. Petr Kovář

Ordinace

  • Gynekologická ordinace Havířov, Místní 9
  • Gynekologická ordinace Hlučín, Čs. armády 12c

O vyšetření

  • Co je to ambulantní hysteroskopie
  • Výhody ambulantní hysteroskopie
  • Narkóza ano či ne
  • Videa
  • Nejčastější hysteroskopické nálezy
  • Slovník gynekologických výrazů

Vaše reakce

  • Zkušenosti pacientek
  • Video reakce pacientek
  • Časté otázky
  • Gynekologická poradna
  • Diskuze na Facebooku

Média

  • Televize, tisk
  • Atlas panoramatické hysteroskopie

MUDr. Petr Kovář © 2019 | Nastavení cookies | Výroba webu

Souhlasím Nastavení

Vaše soukromí - Vaše volba
Tyto webové stránky používají tzv. soubory cookies za účelem lepšího komfortu jejich prohlížení.

Kliknutím na tlačítko „Souhlasím“ souhlasíte s uložením všech souborů cookies. Pro další informace a možnost povolit ukládání pouze některých typů cookies zvolte tlačítko „Nastavení“.